• South Cranbourne Veterinary Surgery
  • (03) 5995 1451
  • Book Online
  • 82 Earlston Circuit, Cranbourne VIC 3977
  • Open Mon-Fri, Sat
South Cranbourne Veterinary Surgery
  • Home
  • Services
    • Health Care Services
      • Annual Health Checks & Preventative Health
      • General Consultations
      • Dentistry
      • Early Finish Puppy Vaccinations
      • Senior Pet Care
      • Pre-Travel Checks & Treatment
    • Wellbeing Services
      • Behaviour Consultations
      • Microchipping
      • Puppy Preschool
      • Cat Clipping
      • Premium Pet Food
      • Flea, Tick & Worm Prevention
      • Weight Loss Clinic
    • Surgical Services
      • Desexing
      • Soft Tissue Surgery
      • TPLO Surgery for Cruciate Damage & Other Orthopaedic Surgery
    • Medical Services
      • X-Ray & Ultrasound
      • On-Site Pathology
      • Hospitalisation
      • PennHip Hip Dysplasia Screening
      • Endoscopy
  • About Us
    • Get to Know Our Team
    • Our Facilities
  • Pet Care
    • Home & Lifestyle
      • Feeding FAQs
      • Pet Insurance
      • First Aid for Pets
      • Household Dangers for Pets
      • Looking After Senior Pets
      • Ten Tips for Helping Pets Live Longer, Happier Lives
      • Toxic Plants for Pets
      • Traveling With Pets
    • Pet Behaviour
      • Understanding Cat Behaviour
      • Behaviour Tips for Great Dogs
    • Preventative Care
      • Preventing Fleas, Worms and Other Nasties
      • Preventing Cat Diseases With Vaccinations
      • Preventing Dog Diseases With Vaccinations
    • Medicine & Hygiene
      • Surgery – Before and After Care
      • Administering Medications
      • Keeping Your Pet’s Teeth Healthy
      • Looking After Your Pet’s Ears
      • Looking After Your Pet’s Eyes
    • Wildlife First Aid
  • News
    • Pet Care Blog
    • Subscribe to Our Newsletter
  • Links
  • Contact
Select Page

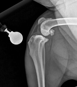
TPLO pre op

Recent Posts

  • Is your pet a “weekend warrior”?
  • Social media “Beauty routines” for dogs
  • The heart of pet cardiac issues
  • Veterinary and grooming anxiety in dogs
  • Ted’s Cautionary Christmas Tale
Online Presence by PetPack - The Veterinary Marketing Experts