TPLO Surgery for Cruciate Damage & Other Orthopaedic Surgery
South Cranbourne Veterinary Surgery
TPLO Surgery for Cruciate Damage & Other Orthopaedic Surgery
South Cranbourne Veterinary Surgery
Our vets have undergone additional training in order to provide a range of orthopaedic procedures for our patients. We are equipped to provide TPLO surgery for cruciate ligament damage, platings and pinning of fracture repairs, luxating patella surgery.in our sterile theatre.
Tibial Plataeu leveling osteotomy (TPLO) surgery has been shown to provide superior long term outcomes for pets with cranial cruciate damage. It rotates the joint surface of the tibia to remove the need for the cruciate ligament to engage. It has a very stable structure and gives a fast return to function after surgery.
We have rigerous training and experience performing this specialist procedure with advanced equipment to ensure a high quality surgery is performed. We are pleased to provide the option to have the procedure performed in our clinic without the cost of a specialist surgeon.
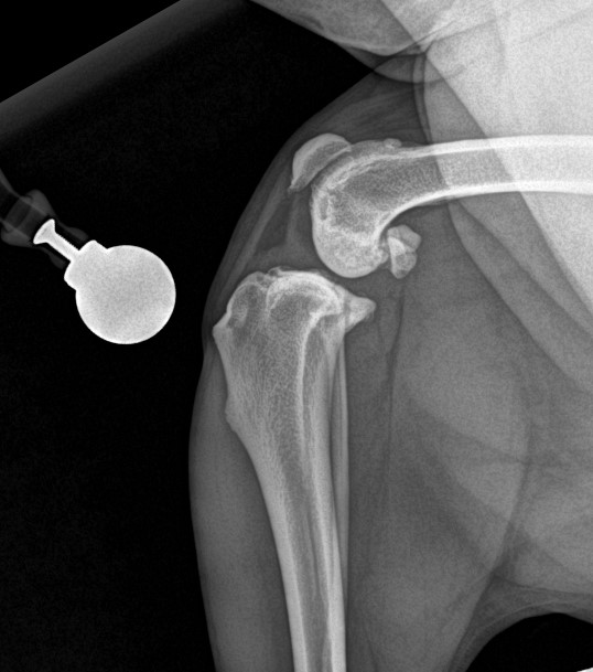
TPLO Pre Op
TPLO Pre Op Plan
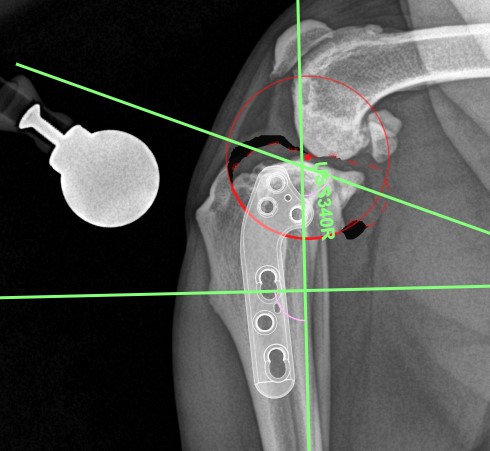
TPLO Post Op
Concerned about your pet’s health?
For any questions about your pet’s orthopaedic surgery, get in touch with our friendly vet team today.
Opening Hours
Monday: 8am–7pm
Tues-Thurs: 8am–6pm
Friday: 8am–7pm
Saturday: 8am–12pm
Sunday: Closed
Address
82 Earlston Circuit, Cranbourne VIC 3977
